Parfois, pour obtenir un bon résultat, il est nécessaire de retirer l’une des prémolaires avant de commencer un traitement orthodontique dans nos cliniques d’Alicante ou de Benidorm. Aujourd’hui, j’explique un cas où l’on peut voir le traitement orthodontique avant et après lequel l’ablation d’une dent a été nécessaire.
Contexte
Une jeune patiente de 16 ans s’est présentée à la consultation, soucieuse de l’alignement de ses dents. Elle exprimait clairement son inconfort : ses dents lui semblaient trop avancées et l’encombrement, surtout en haut, la gênait vraiment.
A voir aussi : Pat' Patrouille nouveau chien : comment les scénaristes choisissent les futurs héros

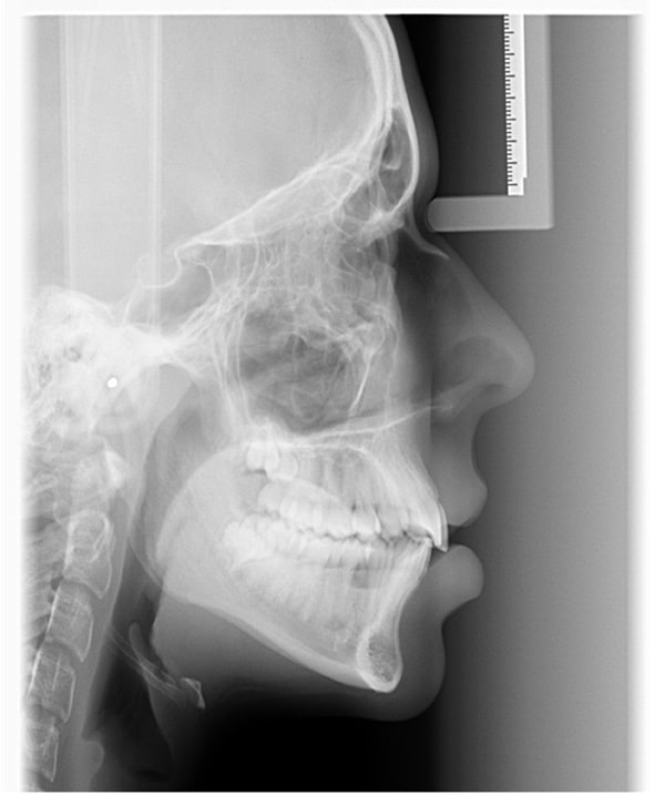
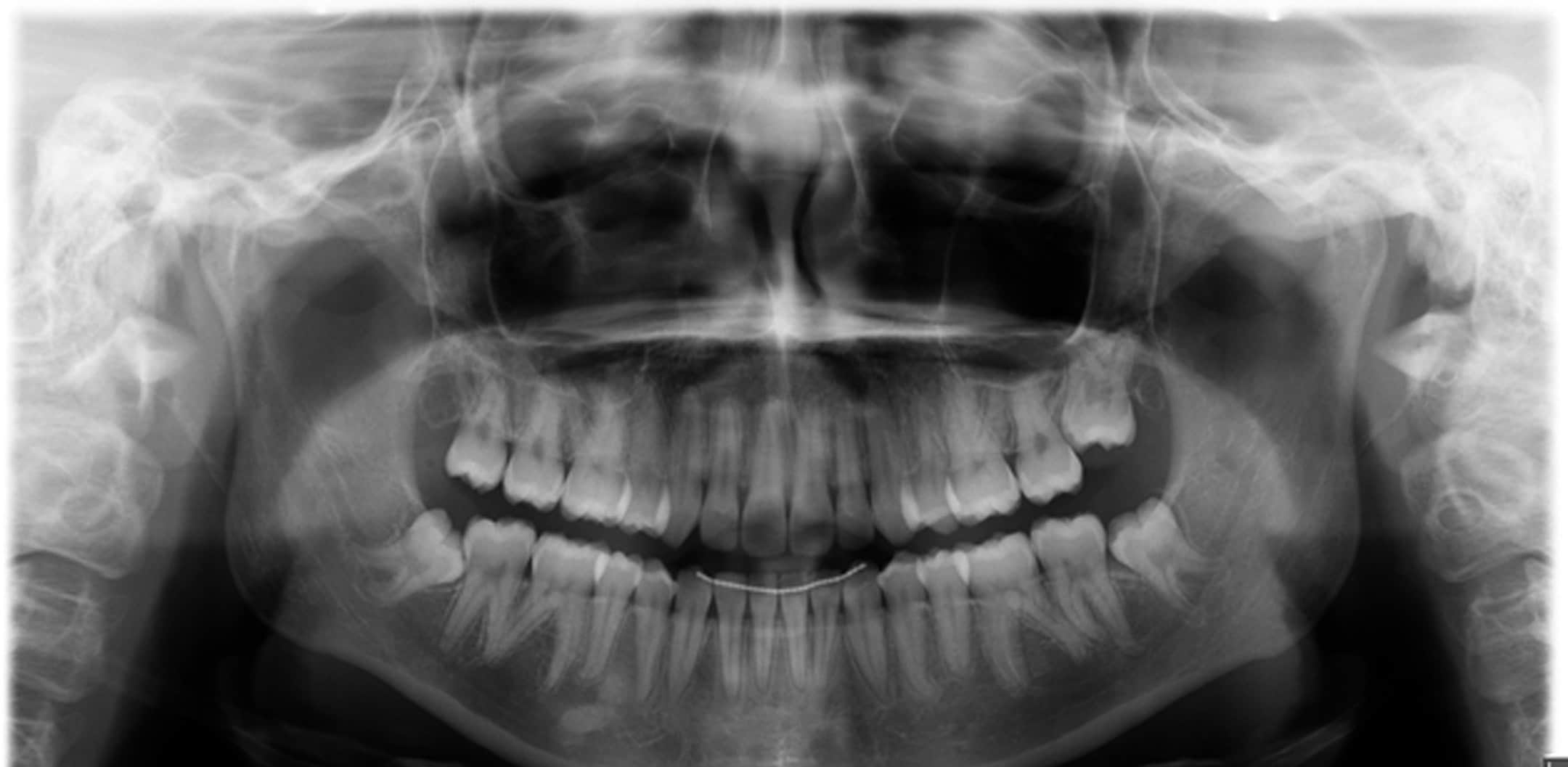
Comme pour chaque première visite, nous avons procédé à une analyse orthodontique complète : radiographies (téléradiographie latérale du crâne et orthopantomographie) mais aussi une série de photos des dents et du profil.
A voir aussi : Choisir l'école idéale : les clés pour une décision éclairée


Les résultats de cette étude ont permis d’identifier plusieurs points-clés :
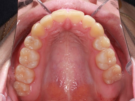
- Un manque de place marqué dans l’arcade supérieure.
- Des incisives supérieures qui penchaient franchement vers l’avant.
- Une mâchoire supérieure comprimée.
- Une ligne médiane supérieure décalée sur la gauche, ne coïncidant pas avec celle du bas.
Le traitement
Nous aurions préféré éviter les extractions, mais dans certains cas, c’est la seule voie permettant d’atteindre une stabilité durable et un résultat harmonieux. Selon la situation, l’extraction peut concerner la mâchoire du haut, celle du bas, ou les deux, tout dépend du diagnostic posé par l’orthodontiste.
Après analyse, le schéma le plus pertinent pour obtenir un sourire équilibré et une mastication optimale passait par l’extraction de deux prémolaires dans l’arcade supérieure. La ligne médiane étant décalée à gauche, il a fallu ajuster : extraction de la première prémolaire à droite et de la deuxième prémolaire à gauche. Ce choix permettait à la fois de réaligner la ligne médiane et d’assurer une occlusion correcte.

Pourquoi ces extractions ?
Dans ce cas précis, retirer deux prémolaires du haut visait deux objectifs concrets :
- Redonner aux incisives supérieures leur place naturelle : elles étaient initialement trop avancées et nécessitaient d’être repositionnées.
- Ramener la ligne médiane supérieure dans l’axe et la faire coïncider avec celle du bas.
À chaque extraction, l’objectif est double : préserver, voire améliorer le profil du visage, et garantir que l’espace créé se referme complètement. Aucun risque de voir ces espaces se rouvrir avec le temps : la stabilité du résultat est au cœur de notre approche.
Le résultat du traitement
Une fois le traitement abouti, les objectifs fixés ont été atteints, point par point :
1. Des espaces d’extraction totalement refermés

Aucun espace n’est réapparu, même après plusieurs mois. La fermeture est stable et définitive.
2. Correction de la protrusion des dents du haut

Les incisives supérieures ont retrouvé une position naturelle : elles ne sont plus projetées vers l’avant.
3. Alignement optimisé pour l’arcade supérieure

4. Ligne médiane corrigée, sourire rééquilibré

Pour maintenir le résultat, nous avons prescrit une contention amovible pour la nuit sur la mâchoire supérieure, et une combinaison de fil de contention fixe et de gouttière nocturne pour l’arcade inférieure.

Lorsque le traitement passe par des extractions, la position des dents reste naturelle : ni forcée, ni artificielle. Le sourire, lui, s’ancre dans la durée, aussi bien sur le plan esthétique que fonctionnel. Si des questions persistent, n’hésitez pas à les partager en commentaire. Nous prendrons le temps d’y répondre. La confiance affichée dans un sourire retrouvé, voilà ce qui construit une histoire différente pour chaque patient.

